Blog - Page 2
Après préparation de gouttières ajustées à sa dentition, le patient utilise chez lui un gel actif de blanchiment qu'il injecte dans cette gouttière
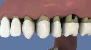
Le bridge complet est collé sur les implants eux-mêmes vissés dans la structure osseuse
L'utilisation de brossettes interdentaires permet un nettoyage approfondi des espaces situés eantre les dents et peut éviter une récidive de parodontite
Affichage des articles 7-12 sur 110





