Les traitements endodontiques, également appelé « traitements de racines », constituent la discipline qui s’attache à traiter les pathologies inflammatoires et/ou infectieuses de la pulpe. La pulpe est l’ensemble des nerfs et des vaisseaux qui sont situés dans la partie profonde et interne de la dent, sous les couches d’émail et de dentine. La pulpe est contenue dans une chambre qui se prolonge dans chaque racine sous la forme d’un réseau de fins canaux, jusqu’aux extrémités des racines. Les nerfs et les vaisseaux pulpaires, qui sont responsables d’une partie de la sensibilité des dents, cheminent dans l’os des mâchoires, pénètrent les racines par leur extrémité, pour se distribuer ensuite dans l’ensemble de la chambre pulpaire.

Coupe d’une molaire inférieure. La chambre pulpaire (appelée aussi cavité pulpaire) est située dans la partie profonde de la dent et se distribue dans les racines jusqu’à leur extrémité. Elle contient un ensemble de nerfs et de vaisseaux, appelés « pulpe dentaire
La pathologie pulpaire et son traitement.
Les agressions bactériennes sont responsables des pathologies pulpaires et peuvent conduire le chirurgien-dentiste à effectuer un traitement endodontique. Ces bactéries sont à même de coloniser la pulpe et de l’infecter dès lors qu’une brèche apparaît au niveau d’un des éléments anatomiques qui isolent naturellement la pulpe du monde extérieur. Il peut s’agir d’une destruction de la couche d’émail (carie, fracture, fêlure), ou, plus rarement, d’une destruction du support gingival et osseux qui entoure les racines (maladie parodontale, fractures des mâchoires). Dès lors, la porosité naturelle de la couche interne de la dent (la dentine) permet aux bactéries de gagner la pulpe. Les réactions pulpaires à ces agressions sont diverses. Schématiquement on retrouve des réactions inflammatoires violentes (ou « pulpites ») accompagnées ou suivies de réactions infectieuses plus ou moins douloureuses (les «nécroses » ou « mortifications » pulpaires). D’importants abcès peuvent découler des pathologies pulpaires si elles ne sont pas traitées.


Figure 1 et 2 : Vue de la dentine au microscope. Bien que dur, ce tissu situé sous l’émail et qui constitue la charpente des racines, est poreux. Les bactéries qui contaminent la dentine (en bleu, photo de gauche), irritent d’abord puis infectent la pulpe sous jacente. Le but des traitements dentaires est de traiter les contaminations dentinaires comme on traiterait n’importe quelle plaie, en la désinfectant (photo de droite). Si les bactéries n’ont pas pénétré trop en profondeur, un traitement conservateur peut être envisagé (cf. fiche clinique « dentisterie adhésive et esthétique »). En revanche si leur action est trop ancienne ou trop profonde, un traitement endodontique peut s’avérer nécessaire.
Les traitements endodontiques consistent à colmater les brèches qui ont permis l’invasion bactérienne puis à retirer les résidus pulpaires, tout en désinfectant la dentine en profondeur. Sous anesthésie, le chirurgien dentiste utilise pour ce faire de fins instruments (les « limes endodontiques »), dont l’action mécanique élimine la dentine infectée. Cette action mécanique est complétée par une abondante irrigation, dont l’action antiseptique est chargée de désinfecter la dentine. Après que chambre et canaux pulpaires aient été ainsi préparés, tout l’espace pulpaire est obturé de façon étanche au moyen d’un ciment et d’un matériau biologique voisin du caoutchouc (la Gutta Percha). Le traitement endodontique proprement dit est alors terminé. Il convient ensuite de reconstruire rapidement le délabrement de la partie coronaire de la dent (celle que l’on voit dans la bouche, par opposition aux racines qui sont cachées sous la gencive), afin de maintenir l’étanchéité du traitement radiculaire. Cette reconstruction est menée généralement au moyen d’inlays/onlays (cf. « dentisterie adhésive et esthétique ») ou de couronnes (cf. « prothèse fixée conventionnelle, couronnes et ponts »).
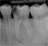
Exemple :


Une volumineuse carie s’est développée sur cette molaire inférieure. L’envahissement bactérien de la pulpe oblige le chirurgien-dentiste à nettoyer et désinfecter entièrement la cavité pulpaire (chambre pulpaire et canaux radiculaire), jusqu’aux extrémités des racines. Cet espace ainsi préparé est ensuite obturé de façon étanche (matériau blanc sur les radiographies).